Главная 🦷 СТОМАТОЛОГИ 🦷 Мишина ГАЛИНА СЕРГЕЕВНА
Мишина Галина Сергеевна
Врач-стоматолог-терапевт
Врач-стоматолог-терапевт Мишина Галина Сергеевна - внимательный высокопрофессиональный специалист с индивидуальным подходом к своим пациентам.
Мишина Г.С. - врач клиники стоматологии "33 зуба".
Специалист по эндодонтии и реставрационным комплексам.
Образование
повышение квалификации

Врач-стоматолог-терапевт
Мишина Г.С врач-стоматолог:
- Профессиональная гигиена полости рта;
- Эндодонтическое лечение корневых каналов (пульпитов и периодонтитов);
- Индивидуальный подбор гигиенических средств;
- В совершенстве владеет методиками эстетической реставрации всех групп зубов фотополимерными композиционными материалами;
- Диагностика и лечение всех видов кариеса и его осложнений;
- Современные техники эндодонтического лечения под микроскопом (лечение корневых каналов) и использование трехмерной горячей методики обтурации;
- Профессиональная гигиена полости рта ( Air-Flow);
- Извлечение инородных тел из корневых каналов;
- Работа с коффердамом;
- Подготовка полости рта к протезированию;
- Художественные реставрации фронтальной и жевательной группы зубов.
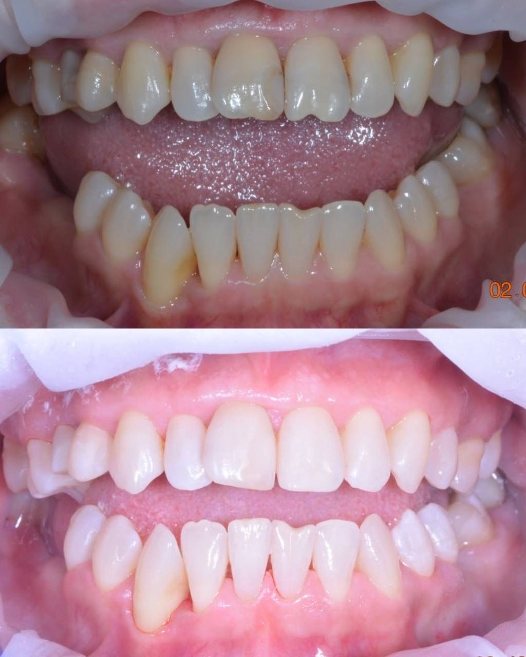
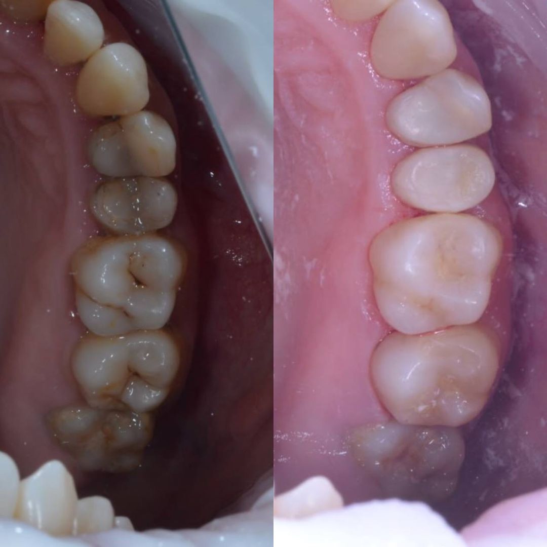
Примеры работ врача стоматолога терапевта Мишиной Г.С.

чистка зубов
Air-flow

восстанов-
ление зуба

лечение кариеса

исправление
эстетики и
поверхности


чистка зубов
Air-flow

лечение и эстетика


чистка зубов
Air-flow

Лечение кариеса

чистка зубов
Air-flow

Лечение кариеса

чистка зубов
Air-flow

Лечение кариеса

Лечение кариеса

Лечение кариеса
Фото с врачом стоматологом терапевтом Мишиной Г.С.

лечение
пациента

В ходе операции

работа с микроскопом

33 Зуба
Сертификаты специалиста

прямая композитная реставрация

артикуляционная система

восковое моделирование

профессиональная
гигиена

семинар
апикальная
хирургия

эндодонтия начало

курс
восстановление
зубов

курс эффективной
обработки
корневых
каналов

курс по
артикуляционной
системе
ARTEX


