Главная 🦷 До - После
Работы стоматологии - до и после
наращивание
наращивание
лечение и эстетика
УДАЛЕНИЕ
ЗУБНОГО КАМНЯ
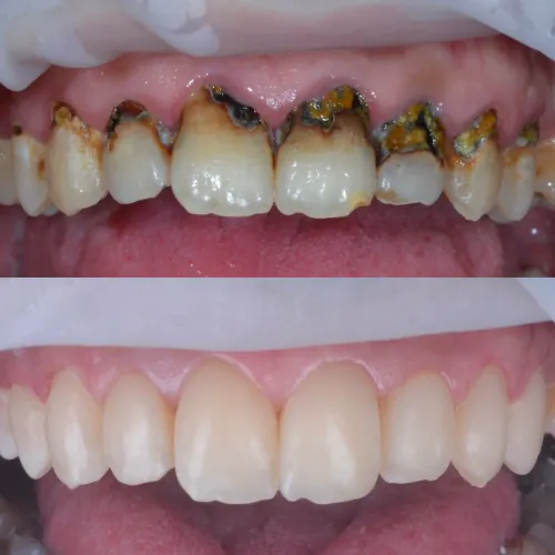
Лечение кариеса
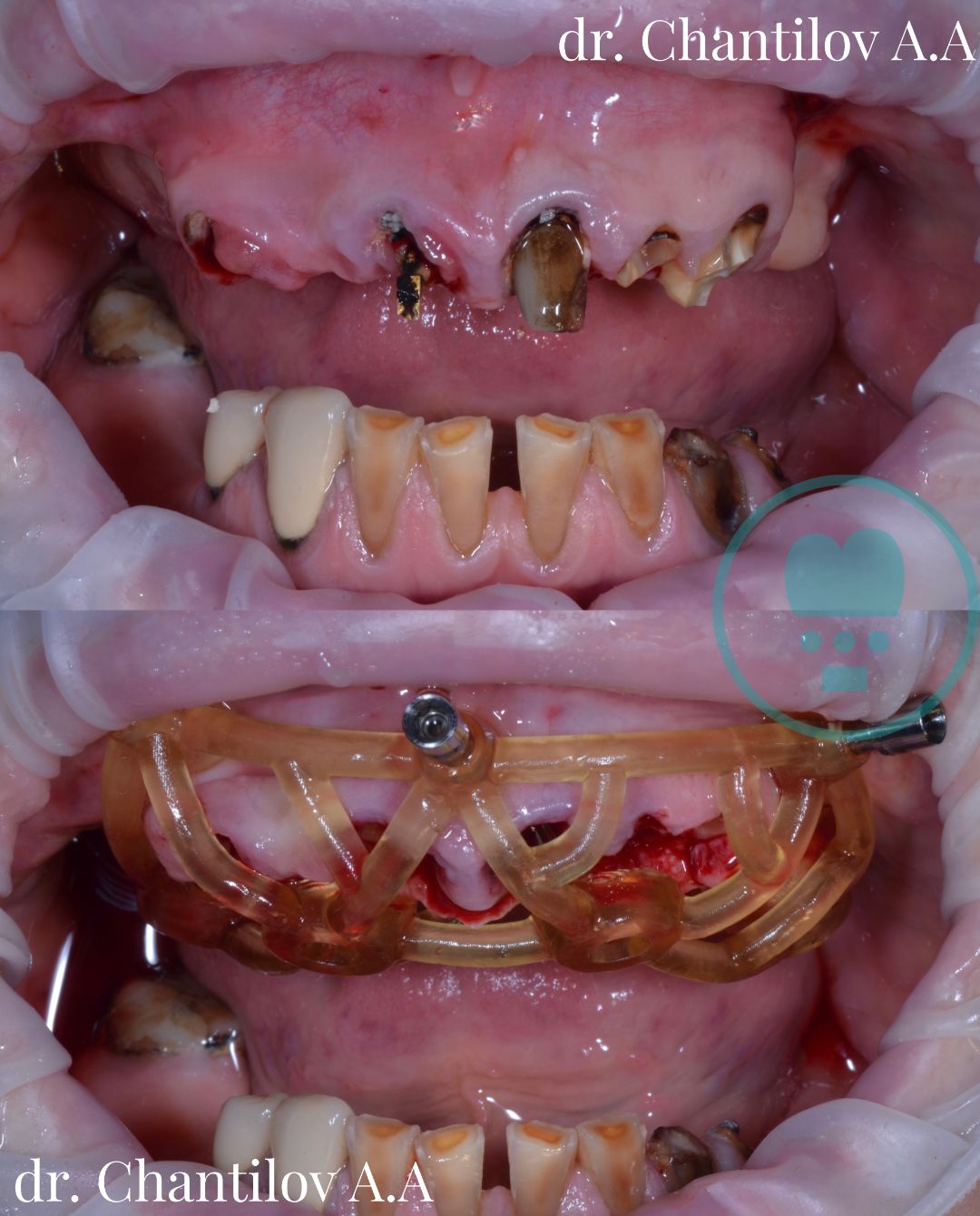
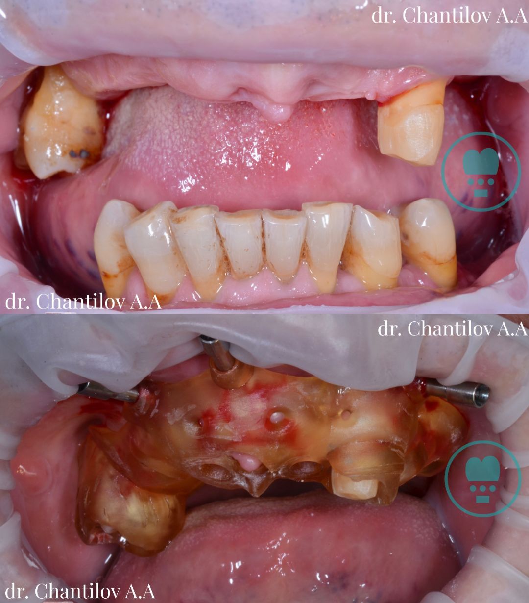
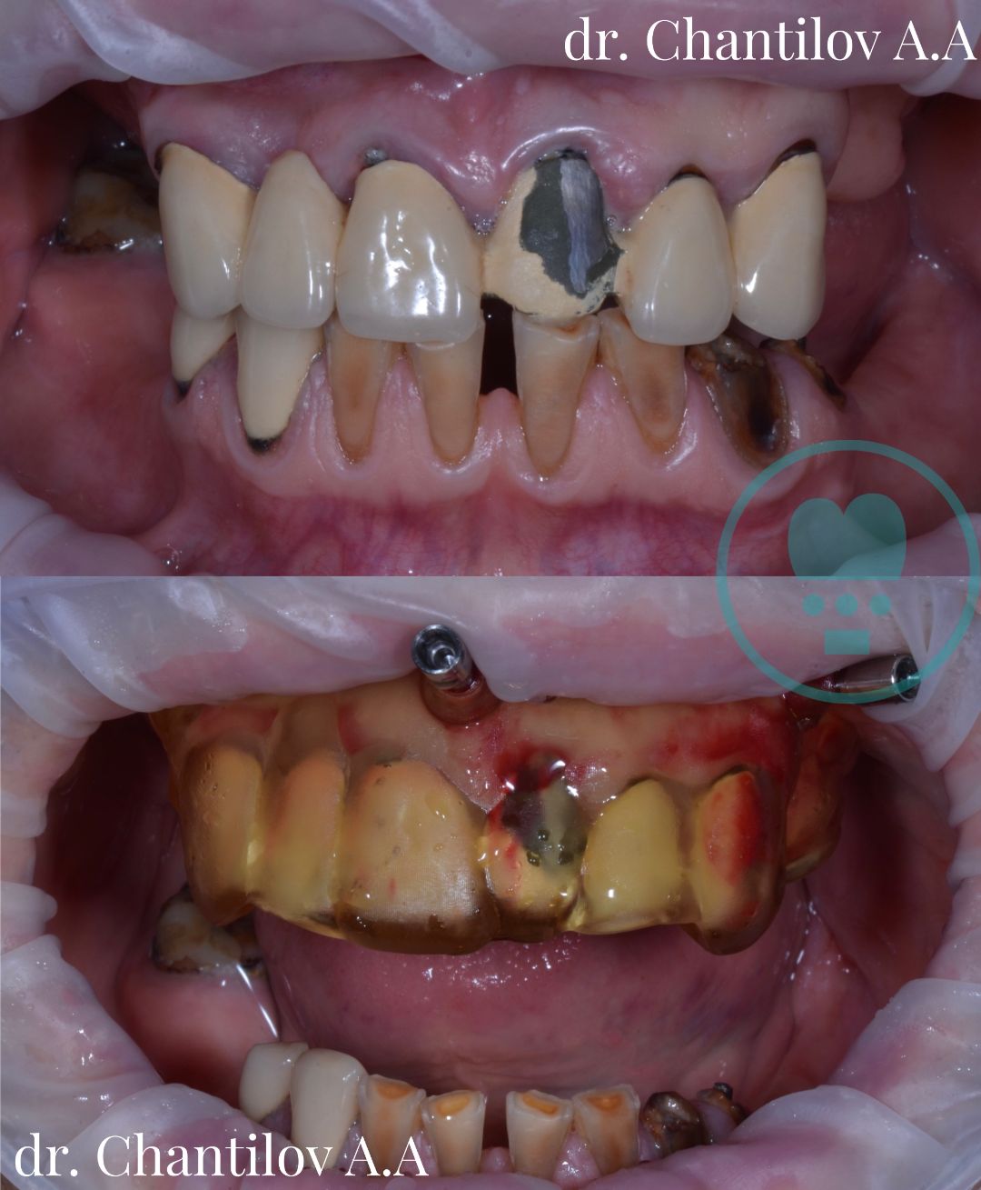
Имплантация зуба
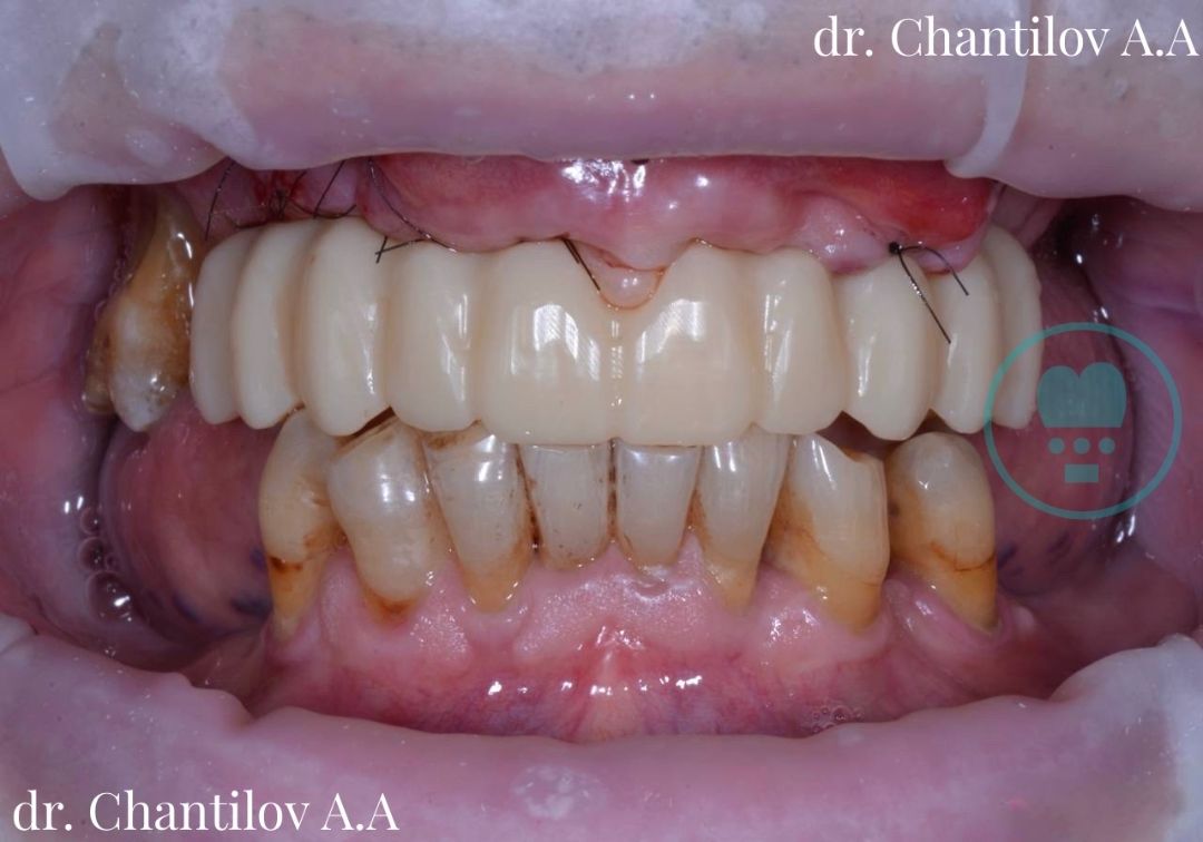
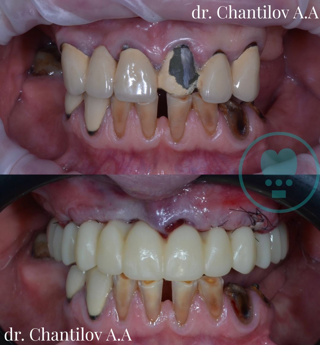
Протезирование
Восстановление разрушенного зуба
вытяжение зуба мудрости
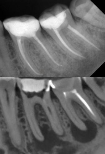
эндодонтическое лечение
удаление зубного камня
реставрация зубов
Имплантация зубов челюсти - фото до и после
Изготовление индивидуального шаблона








